| 悩み | 施術又は種類 |
|---|---|
| 歯を白くしたい | ・オフィスホワイトニング (上・下)
・ホームホワイトニング (上・下) ・ホームホワイトニング (片顎) ・デュアルホワイトニング |
| 歯を白くしたい 又は歯のすき間を治したい |
・ラミネートべニア |
| 部分的な金歯・銀歯を白くしたい | ・インレー |
| 部分的にゴールドにしたい | ・ゴールドインレー |
| 被せ物 差し歯をしたい |
・ジルコニアクラウン
・オールセラミッククラウン ・ゴールドクラウン |
| 入れ歯の金属が気になる | ノンクラスプデンチャー |
| 歯ぎしりをする | ナイトガード |
| スポーツをする | マウスガード(スポーツ用) |
治療法・診療のご案内
| ジルコニアクラウン | オールセラミック | ラミネートべニア |
| ゴールド | ノンクラスプデンチャー | オフィスホワイトニング |
| ホームホワイトニング | デュアルホワイトニング | ナイトガード |
| マウスガード(スポーツ用) | お支払い方法 |
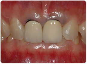
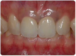
ジルコニア(インレー・クラウン)
審美性と耐久性を両立させた審美歯科治療、最前線のオールセラミッククラウンです。(差し歯・奥歯も可能です)
-

治療前 -

治療後
・保険適用の差し歯と違い、金属を使用しない為、金属イオンの溶出による歯茎の黒ずみを起こさない。
・患者様に合わせた歯の色に出来る。
・保険適用の差し歯では、長期間使用してると変色してきますが、
ジルコニアクラウンは長期間使用しても変色しません。
・歯垢(歯石)が付着しにくいため、歯周病の患者様にも適しています。
・歯みがきで艶が無くなることも、磨耗する事もありません。
・従来のメタルボンドより天然歯に近い仕上がりです。
・ジルコニアって何?
人工ダイアモンドとしてアクセサリーに使われるジルコニアですが、実は白いセラミックでできています。数あるセラミックスの中でも特に粘り強く丈夫な素材です。その丈夫さから、スペースシャトルの断熱材にも使われるほどです。
さらに金属に比べてアレルギーも起こさないので、骨の代替素材として人口関節やインプラントの人口歯根に使われるなど、医療の現場でも活躍しています。
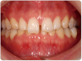
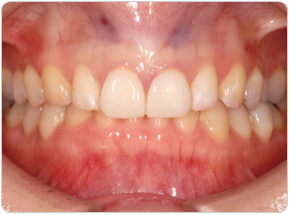
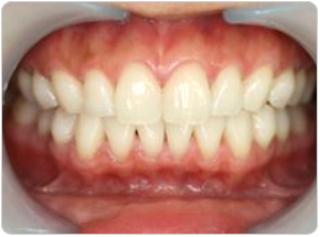
オールセラミック(インレー・クラウン)
長年の使用にも変色せず、天然の歯のような美しい透明感を保ちます。
-

治療前 -

治療後
・冠のすべてをセラミックで作るかぶせ物のことです。
歯茎の黒ずみや金属アレルギーの心配がありません。
・光を通して、透明感もあるので、見た目がとても自然で天然歯に近い仕上がりになります。
・表面に汚れが付きにくく、変色もしません。
[注意事項]
強い衝撃や歯ぎしりなどがあると、まれに欠けたりする事があります。
ラミネートべニア
歯を白くしたり、歯と歯のすき間を改善したり、歯の形を整えたりできます。
-

治療前 -

治療後
・歯の表面を薄く削り「付け爪」の感覚で薄いセラミックを歯の表面に張り付けます。
・歯と歯のすき間や形を短時間で治せます。
・歯茎の黒ずみや金属アレルギーの心配がありません。汚れが付きにくく、変色もしません。
[注意事項]
強い衝撃などがあると欠けたり、はずれたりする事があります。
ゴールド(インレー・クラウン)
素材を重視する方、見えない部分での治療に最適です。
・年数が経っても劣化せず、変色しません。
表面が滑沢なため、汚れが付きにくいです。
・天然歯に近い固さなので周辺の歯や、かみ合う歯を痛めません。
適合が良く、歯にぴったりとフィットして虫歯にもなりにくいです。
・最も、科学変化の起こりにくい金属なので、
金属アレルギーも起こりにくく、安心して長時間使用できます。
ノンクラスプデンチャー
「歯を治療する」から「歯を美しくする」へ毎日の暮らしの中で、いつまでも自然で若々しい笑顔を保ちたい。
そんな想いがアンチエイジングという言葉を生みました。
そして最近では、男女問わず素肌の美しさを求めると同時に、歯の美しさを求める方が急増しています。
より自然に、より美しく・・・。ノンクラスプデンチャーはそんな患者様の想いにお応えします。
口元をすっきり美しく、より自然な入れ歯です。入れ歯に抵抗があった方も、自信をもってお使いいただけます。
-

従来の入れ歯使用 -

ノンクラスプデンチャー使用
ノンクラスプデンチャーのメリット
・美しく透明感のある素材ですので自然な美しさ。
・適度な弾性があり、装着時にやさしくフィット。
・臭い・汚れがつきにくく、耐久性が高い。
ノンクラスプデンチャーの適した方
・金属のバネが見えるのが嫌な方
・人から入れ歯だと気づかれたくない方
・入れ歯の臭いが気になる方
・今の入れ歯に違和感を感じている方
-

(上) -

(下)
ノンクラスプデンチャーとは?
透明度の高い素材で、金属バネを使用せず、ひと目で入れ歯とはわからないほど自然で目立ちにくく、審美性に優れています。新開発された樹脂から製作している為、従来の入れ歯と比べて大変軽くしなやかで、入れ歯を付けているのを忘れてしまうほど、ジャストフィットします。
今まで、入れ歯に抵抗があった患者さんや、現在お口に合っていない入れ歯をお使いの患者さんへも自信をもってお勧めいたします。自然な美しさを限りなく追及したノンクラスプデンチャーは、安心して使い続けられる機能性と耐久性をもった新しい入れ歯です。より美しさと快適さを重視される方のニーズにお応えします。
ホワイトニング
(オフィスホワイトニング・ホームホワイトニング・デュアルホワイトニング)
ホワイトニングとは、無害な薬剤で歯を白くする方法です。
当院では、ご家庭でご自分で行う
ホームホワイトニングと、医院で行うオフィスホワイトニングを行っております。
オフィスホワイトニング
オフィスホワイトニング施術方法
1.お口の状態と歯の色調を確認します。
2.ホワイトニング剤の塗布準備として、歯肉の保護などを行います。
3.ホワイトニングジェルを塗布します。
4.歯科医師とともに歯の色調の変化を確認します。
ホームホワイトニング
自宅でも簡単にできるホワイトニングです。
ホームホワイトニング使用方法
1.カスタムトレイの対象の歯に、一本線を描くようにジェルを注入します。使用量は歯科医師の指示に従いましょう。
2.ジェルが適切に注入されていることを確認し、トレイを装着します。装着方法や装着時間は、歯科医院の指導を受けください。
3.余分なジェルは、柔らかい歯ブラシやティッシュなどで取り除きます。
4.装着後は口を水で十分にすすぎ、必要に応じて歯ブラシなどでジェルを取り除きます。カスタムトレイも同様に、歯ブラシなどで洗い流しましょう。
デュアルホワイトニング
オフィスホワイトニングとホームホワイトニングの併用で、さらにワンランク上の白さに!
・オフィスホワイトニングの即効性とホームホワイトニングの持続性を、より効果的に歯を白くするホワイトニングです。
・ホームホワイトニングのジェルを定期的に追加して使用する事により、再着色を防止できます。
ナイトガード
歯ぎしりでお悩みの方に!
ナイトガードは睡眠時に装着することで歯と歯を直接触れ合さずに歯ぎしり独特の「ギリギリ」「キリキリ」という音を防止すると共に、
歯の摩耗や損傷を予防し保護するための装置です。 また歯ぎしりを放っておくと、
歯がすり減る、あごの関節症状(顎関節症)が起きる。
また、歯のぐらつき(歯周病)が悪化しやすくなります。
朝起きた時に、あごの関節が痛かったり、肩こり、こめかみ辺りの頭痛がある方は、歯ぎしりをしている可能性があります。
-
-

装着時
マウスガード(スポーツ用)
スポーツをする時に歯や顎、口腔内を保護するもので、装着することにより顎や顎関節の衝撃をやわらげたり、歯が折れたり、口の中のケガを防止します。オーダーメイドのスポーツ用マウスガードは市販の物に比べ10倍以上の保護能力があります。「はがれにくい」、「呼吸しやすい」「気持ち悪くない」または、歯のすり減りや、歯が抜けるのを防止し、脳震盪(のうしんとう)の防止、身体のバランス感覚の向上、身体の筋力アップの効果があります。
-

お好きな色が選べます。 -

装着時
カードをご利用の方
各種クレジットカード・電子マネーを取り扱いしています。
保険外治療(審美治療など)、保険治療のお会計はクレジットカード・電子マネーでのお支払いが可能です。






